



to help us help you!
Our teeth whitening process is comprised of two in-office bleaching sessions, personalized trays, take-home bleaching material for touch-ups, and anti-sensitivity gel.






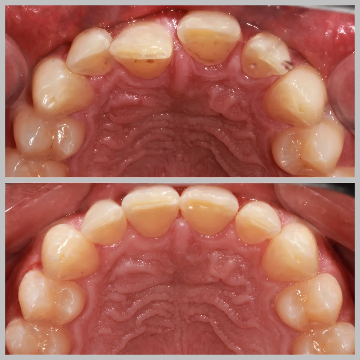
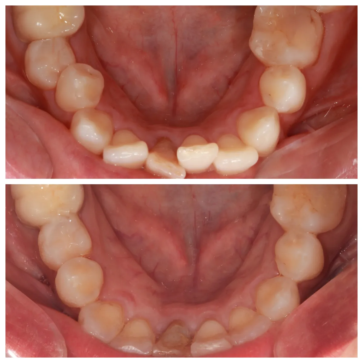
Invisalign straightens teeth using a series of clear, removable aligners that are changed every two weeks. The aligners work by gradually shifting teeth into their proper positions. The treatment focuses on moving specific teeth in small increments, which minimizes discomfort and ensures that the teeth are moved into the correct position. The aligners are virtually invisible and can be removed to eat, drink, and brush teeth, making them ideal for people who want to maintain their normal appearance while undergoing treatment.







Dental veneers and cosmetic crowns are excellent solutions to enhance your smile and restore dental imperfections. Whether the choice of restorations is veneers or crowns, or a combination, both treatments can dramatically improve your overall appearance, boost your confidence, and give you a smile you can proudly show off.





2791 West 5th Street, Brooklyn, NY, 11224
